Call Now
Book Consult
Point Cook
|
Burnside
|
(03) 9931 1661
|
info@specialistsinorthodontics.com.au
Dentist Referral
About Us
About Orthodontics
Why Choose Us
Meet The Orthodontists
Dr Ping Ping Yeoh
Dr Chien Wei Tan
Meet The Support Team
Renata
Monica
Conditions
Crossbite
Crowding
Deep Bite
Impacted Teeth
Missing Teeth
Openbite
Overjet
Spacing (Gaps)
Under Bite
Treatments
Clear Braces
Incognito Braces
Invisalign
Jaw Surgery
Metal Braces
Orthopaedic Plates
Spark Aligners
Patient Info
After Treatment (Retainers)
Age Groups
Early Treatment
Teenage Treatment
Adult Treatment
Blog/News
During Treatment
Life with Braces
Life With Invisalign
Life With Spark
FAQ’s
Fees & Finance
Interest Free
Private Insurance
Cost of Orthodontics
First Visit
Start Treatment
Starting Braces
Starting Invisalign
Smile Gallery
Crowding
Deep Bite
Gapped Teeth
Jaw Surgery
Overjet
Underbite
Contact Us
Book A Free Consult
About Us
About Orthodontics
Why Choose Us
Meet The Orthodontists
Dr Ping Ping Yeoh
Dr Chien Wei Tan
Meet The Support Team
Renata
Monica
Conditions
Crossbite
Crowding
Deep Bite
Impacted Teeth
Missing Teeth
Openbite
Overjet
Spacing (Gaps)
Under Bite
Treatments
Clear Braces
Incognito Braces
Invisalign
Jaw Surgery
Metal Braces
Orthopaedic Plates
Spark Aligners
Patient Info
After Treatment (Retainers)
Age Groups
Early Treatment
Teenage Treatment
Adult Treatment
Blog/News
During Treatment
Life with Braces
Life With Invisalign
Life With Spark
FAQ’s
Fees & Finance
Interest Free
Private Insurance
Cost of Orthodontics
First Visit
Start Treatment
Starting Braces
Starting Invisalign
Smile Gallery
Crowding
Deep Bite
Gapped Teeth
Jaw Surgery
Overjet
Underbite
Contact Us
Book A Free Consult
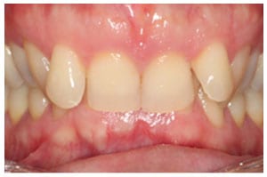
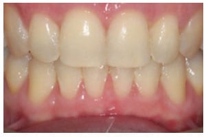
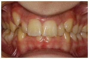
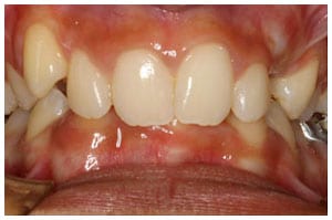
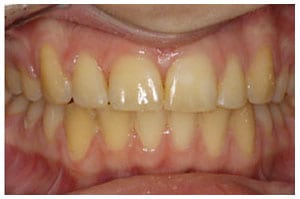
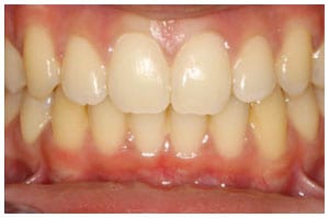
Deep Bite
Home
/
Smile Gallery
/
Deep Bite
Before
After
Before
After
Before
After